Malignant brain tumors are an especially bad type of cancer for a number of reasons. One of these is a protective layer of cells on the inside of brain's blood vessels called the blood-brain barrier (BBB), which keeps out toxins and pathogens while letting in nutrients such as glucose or amino acids. Most drugs do not cross the BBB, but the ones that do share common properties; they are small (low molecular weight), compact and fat soluble. Many also contain a basic nitrogen, usually an amine. Here are a few common examples (Figure 1).

Figure 1. Examples of drugs that cross the BBB. Basic nitrogen atoms are indicated by a red circle.
By contrast, two common chemotherapy drugs, taxol, and vincristine do not cross the BBB (Figure 2).
Figure 2. The chemotherapy drugs taxol and vincristine are too large to cross the BBB. Note that vincristine has two basic nitrogen atoms, but these do not overcome the size of the molecule.
So it is somewhat paradoxical that the mechanism that protects the brain from unwanted chemicals also keeps out most of the drugs that could treat the tumor that will eventually kill the brain.
An article by Abagail Fagan in the December 2018 Psychology Today discusses a number of methods that are being used to break down the barrier that keeps drugs for cancer and other diseases from getting to the site where they are needed. Here are two of them.
- Ultrasound
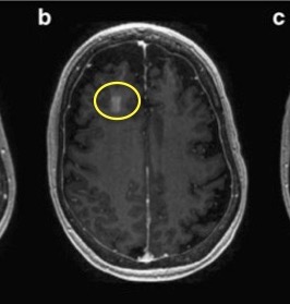
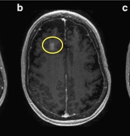
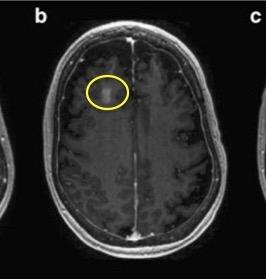
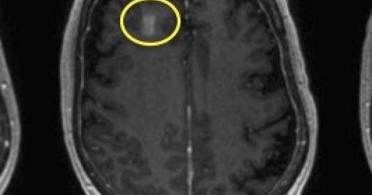
Scientists at the University of Toronto recently published the results of a Phase I safety trial in Nature Communications. Nir Lipsman and colleagues used a method called magnetic resonance-guided focused ultrasound (MRgFUS) in conjunction with injected microbubbles of air to temporarily open the BBB in five patients with early to moderate Alzheimer's disease (1). No adverse effects were observed.
MRI images of blood-brain barrier of one patient before, immediately after, and 24 hours following magnetic resonance-guided focused ultrasound. (a) Baseline MRI scan before procedure. (b) MRI scan immediately following the procedure. The yellow circle indicates the right frontal lobe, where a transient opening of the BBB is apparent. (c) The MRI scan 24 hours following the procedure shows that the BBB opening has closed. Source: Nature Communications volume 9, Article number: 2336 (2018)
- Trojan Horses
The idea of attaching molecules to other molecules in order to increase the penetration of a drug into cells is not new. Molecules can move in and out of cells by either of two mechanisms, active or passive transport. In passive transport no energy is required; the molecules flow freely through cell membranes. But active transport is a molecular machine (or pump) where the molecule is "grabbed" and transported through a membrane through which it would not normally pass. Both active and passive transport take place across the BBB. Here's a cartoon to illustrate how it works.
1. Small and fat-soluble molecules (green circles) can easily move in and out of cells by passive transport. But big stupid molecules (blue circle) cannot. Neither can amino acids (orange square); they are water-soluble, not fat-soluble.

2. Fortunately, there are active transporters (red) that "pump" necessary nutrients like amino acids and glucose into the cell. Chemists can take advantage of the active transporters by chemically hooking the big stupid molecule (BSM) to another molecule that gets actively transported, for example, an amino acid. This forms what is called a conjugate. The amino acid part of the conjugate gets "sucked" into the cell and the BSM comes along for the ride. Hence, the Trojan Horse.

So, by proper use of their brains, scientists have made it possible to trick other brains into giving up the defense mechanism that evolved to protect them. Rather existential, no?
NOTE:
(1) There are no vaccines or drugs that have had any impact on the progression of Alzheimer's. One (of many) ideas of why all therapies have failed is the inability to get drugs into the brain.
