Malignant brain tumors are an especially bad type of cancer for a number of reasons.
brain tumor
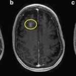
Senator John McCain’s office just released a statement from the Mayo Clinic Hospital in Phoenix detailing his newly diagnosed Glio
Like most, my initial reaction to such a challenge is “umm, no thanks.” But, I admit I am not much like the long distance running extreme endurance athlete set. A unique club.
New York State Attorney General cites American Council on Science and Health Director of Chemical and Pharmaceutical Science Dr. Josh Bloom and ACSH Advisor Dr. David Seres in criticizing dietary supplements.
If you scour a vast amount of data from various inputs versus various outcomes, you will eventually find some s
