"Been to the dentist recently for a cleaning?"
(Actually, no I haven't.)
"Well, at least you brush your teeth at least twice a day, every day, without fail, right?"
(As a matter of fact, I do let it slide sometime and I could be a lot better at it. But it's not that big a deal, right?)
###
If this sounds like a conversation that you've had with someone – or one that simply took place in your own head – this failure to act is not only damaging your teeth but possibly undermining your overall health as well.
It's been established that poor dental hygiene has been linked to, or associated with, a range of health problems, some of them serious. And what many people fail to realize is that they can improve their chances of staying in good health if they simply made sure to take good care of their teeth.
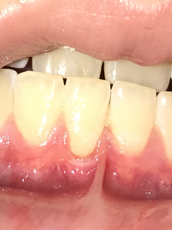
The reason is that your mouth is a repository of bacteria. And when you brush, and floss, and go to the dentist for a cleaning, with the help of your saliva you're clearing these out. Dental experts say that over 500 bacterial species are present in plaque, found below the gum line. If they're not regularly cleaned out periodontal disease, which includes gingivitis, forms (see photo).
That bacteria, it's believed, then enters the bloodstream and makes its way to the lining of the heart, which can create a condition known as endocarditis. And while the exact connection has been difficult to identify, the American Heart Association has stated that there's an association between periodontal disease and cardiovascular disease. Conversely, the AHA has indicated that proper gum hygiene helps lower blood pressure.
“Periodontal disease is now recognized by the cardiology community to be a direct risk factor for coronary arterial disease, peripheral arterial disease and stroke,” states Sam Shamardi, a clinical instructor in the Harvard School of Dental Medicine’s division of periodontology, speaking to US News. “The common link to these and other diseases is inflammation.”
In 2015, a study in the Journal of the American Dental Association found that chronic periodontitis, "a severe form of gum disease that can lead to tooth loss," affected "47.2 percent of the adult U.S. population aged 30 years or older."
Both the AHA and ADA recognize that these health issues referenced above are associated with periodontal disease, and they're not exactly sure of the direct connection. Despite this, brushing one's teeth is a simple task that provides its own benefits, which include tooth decay prevention and better breath.
