When I was a kid, there was no chickenpox vaccine. Getting chickenpox -- along with the requisite oatmeal bath -- was seen as a childhood rite of passage. It wasn't uncommon for kids who were uninfected to hang out with kids who were. The thinking was, "Might as well get this over with."
But I really, really wish there had been a vaccine.
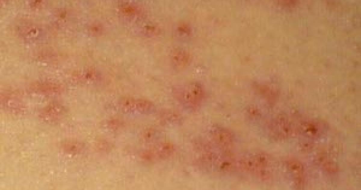
After I turned 30 years old, I got shingles. The reason is because chickenpox, which is a type of herpes virus, sets up permanent residence in an inactive form inside nerve cells. (As a former professor of mine used to say, "Unlike love, herpes is forever.")
I wasn't sick, stressed, or immunocompromised, but that doesn't matter to chickenpox (more properly called Varicella-Zoster virus). Every once in a while, for reasons that aren't really understood, the virus can "wake up." And when it does, it can be very unpleasant. I only had a mild rash on my back, but shingles can be extremely painful, particularly in older people, and it can even cause blindness or hearing loss in rare cases.
Chickenpox is wrongly thought of as a harmless disease. According to a case report published in 2018, chickenpox hospitalized 13,000 Americans and killed 150 every year prior to widespread vaccination. But even if it was a harmless infection, wouldn't we want to vaccinate our children to spare them the pain of shingles in their later years?
Kentucky Governor Matt Bevin Purposefully Exposed His Nine Children to Chickenpox
Apparently that didn't matter to Kentucky Governor Matt Bevin, who admitted that he exposed his nine kids to chickenpox. According to Louisville's Courier-Journal, he boasted, "They got the chickenpox on purpose because we found a neighbor that had it and I went and made sure every one of my kids was exposed to it, and they got it. They had it as children. They were miserable for a few days, and they all turned out fine."
What about when they're older? The CDC estimates that just under 1 in 3 people will develop shingles in their lifetime. That means, statistically speaking, Bevin has condemned three of his children to an outbreak of shingles. And there is no limit to how many times shingles can erupt, so maybe they'll have an outbreak more than once.
Bevin's decision is incredibly obtuse. Thirty years ago, a "chickenpox party" was a perfectly fine idea. But the chickenpox vaccine has been on the market since 1995, so there is no excuse -- other than sheer stupidity -- to not vaccinate against it. The scientific ignorance of so many of our nation's elected officials is simply jaw-dropping.
