Artificial intelligence is getting really, really good. In fact, it has become so technologically advanced that some high-skilled jobs that we once believed were "robot-proof" actually are not. The biomedical profession is ripe for overhaul.
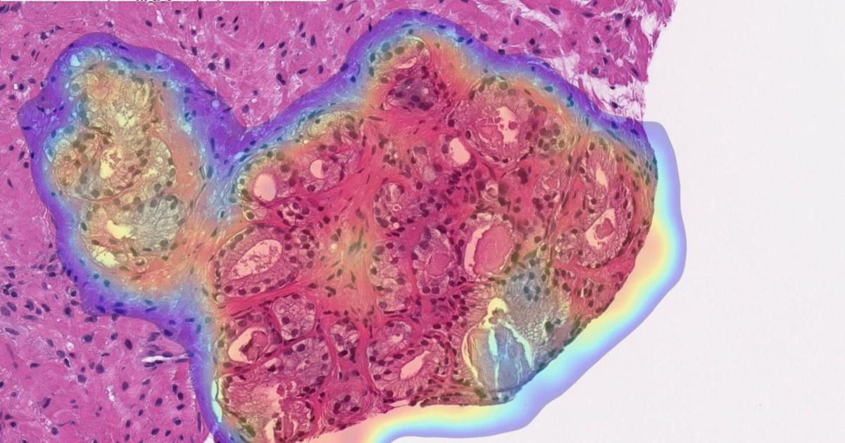
Consider a new paper in The Lancet Digital Health. Researchers developed an algorithm with 98% sensitivity and 97% specificity for detecting prostate cancer. In other words, of all the patients who really did have prostate cancer, the algorithm correctly identified 98%; of all the patients who did not have prostate cancer, the algorithm was 97% correct. That's phenomenal accuracy. According to a press release, the algorithm identified six cases of cancer that pathologists had missed.
So, are pathologists going the way of elevator and telephone operators? Probably not, but the outlook isn't fantastic, either. The authors of The Lancet study note that there has been a relative decline in the pathology workforce because the number of new cancer cases is outpacing the number of pathologists entering the field. So, demand for pathologists is increasing. However, AI likely will reduce the number of human pathologists that are actually needed. If, for instance, all the "easy" cases are diagnosed by computers, then that means pathologists (in combination with AI) would only be needed for the "harder" cases.
Radiologists are also in trouble. An article published in Nature in January of this year describes that AI outperforms radiologists in the detection of breast cancer. The algorithm was able to reduce the rate of both false positives and false negatives.
Not the Microbiologists, Too?
Your humble correspondent spent 10 years being trained in microbiology, first as an undergraduate then as a graduate student. At one point, I considered a career as a clinical microbiologist, in which I would be responsible for diagnosing infectious diseases.
In a traditional lab, an unknown bacterium is cultured and run through a series of metabolic tests to identify what it is. Identifying viruses is much harder. This is labor-intensive and time-consuming. So why do all this work when we now have machines that can isolate and sequence DNA, thereby identifying the microbe (including bacteria, viruses, and fungi) from its unique genetics? A company called Karius has developed a machine that can provide results within 24 hours of receiving a patient sample.
Is Any Job Robot-Proof?
While some jobs are safe for now, it appears that few if any jobs are truly robot-proof. There is even software that can write its own code, which means a robot could program itself or other robots. While I believe that fears of a Robot Apocalypse are far-fetched, self-programming computers indicate that even coders won't be safe forever.
