Regulation of Molecular Genetic Engineering Must Be Evidence-Based

By Henry I. Miller, MS, MD — Aug 17, 2023
For decades, excessive, unscientific regulation has slowed innovation using molecular genetic engineering. Policymakers must awaken to the realization that regulations based on pseudoscience or nescience are destructive and regressive. Tremendous innovations await, if only we have the wisdom to permit them to be developed.

For decades, excessive, unscientific regulation has slowed innovation using molecular genetic engineering. Policymakers must awaken to the realization that regulations based on pseudoscience or nescience are destructive and regressive. Tremendous innovations await, if only we have the wisdom to permit them to be developed.

'Painkiller': Netflix Miniseries Tells Shameless Lies About Opioids

By Cameron English — Aug 16, 2023
"Painkiller" is a textbook example of a show clearly meant to sway public perceptions on a critical public health issue — even if that means lying to viewers along the way.

"Painkiller" is a textbook example of a show clearly meant to sway public perceptions on a critical public health issue — even if that means lying to viewers along the way.

How Our Bodies Remember Stress

By Chuck Dinerstein, MD, MBA — Aug 16, 2023
Stressors, be they physical or spiritual, are often incited as causative factors in a variety of illnesses, including cancer. The effect of those stressors on our physiology can be passed on to our children, as studies of holocaust survivors have found. The integrated stress response (ISR) is a signaling network that bridges those stressors and the physiologic reactions within our cells. How can chemicals remember?

Stressors, be they physical or spiritual, are often incited as causative factors in a variety of illnesses, including cancer. The effect of those stressors on our physiology can be passed on to our children, as studies of holocaust survivors have found. The integrated stress response (ISR) is a signaling network that bridges those stressors and the physiologic reactions within our cells. How can chemicals remember?

Decades of Fighting Continues Over Formaldehyde

By Susan Goldhaber MPH — Aug 15, 2023
On July 20, the American Chemistry Council (ACC), the principal trade association for the chemical industry in the U.S., sued the EPA and the National Academies of Sciences, Engineering, and Medicine (NASEM) over the EPA’s 2022 draft IRIS Assessment on Formaldehyde. Lawsuits against the EPA are not unique, but those including NASEM are another story.

On July 20, the American Chemistry Council (ACC), the principal trade association for the chemical industry in the U.S., sued the EPA and the National Academies of Sciences, Engineering, and Medicine (NASEM) over the EPA’s 2022 draft IRIS Assessment on Formaldehyde. Lawsuits against the EPA are not unique, but those including NASEM are another story.

Is 'Forest Bathing' Helpful?

By Chuck Dinerstein, MD, MBA — Aug 15, 2023
Shinrin-yoku, also known as a "forest bath," originated in Japan and it's believed to enhance one’s well-being while helping “connect” with nature. It involves immersing oneself in a forest or natural environment and mindfully engaging with the surroundings through the senses. Western medicine offers “nature prescriptions” – the walk with or without the mindfulness. Does it improve our health?

Shinrin-yoku, also known as a "forest bath," originated in Japan and it's believed to enhance one’s well-being while helping “connect” with nature. It involves immersing oneself in a forest or natural environment and mindfully engaging with the surroundings through the senses. Western medicine offers “nature prescriptions” – the walk with or without the mindfulness. Does it improve our health?

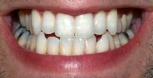
The ‘Thin White Line’ That Protects Your Dental Health

By Henry I. Miller, MS, MD — Aug 15, 2023
Good dental hygiene is extremely important to overall health. Even simple and inexpensive interventions, such as brushing, flossing and chewing sugar-free gum, can be highly effective.

Good dental hygiene is extremely important to overall health. Even simple and inexpensive interventions, such as brushing, flossing and chewing sugar-free gum, can be highly effective.

Sperm Temperature, and the Cancer Connection

By Chuck Dinerstein, MD, MBA — Aug 14, 2023
The creation of sperm in mammals, known as spermatogenesis, is critically impacted by temperature. A very small increase results in a significant reduction in the little swimmers. Peto’s paradox points out that larger animals with more cells – and, therefore, a greater risk of mutation – have less chance of cancer than smaller animals. A new hypothesis connects these two seemingly unrelated dots.

The creation of sperm in mammals, known as spermatogenesis, is critically impacted by temperature. A very small increase results in a significant reduction in the little swimmers. Peto’s paradox points out that larger animals with more cells – and, therefore, a greater risk of mutation – have less chance of cancer than smaller animals. A new hypothesis connects these two seemingly unrelated dots.

New York City’s 2 Overdose Prevention Centers Saved 1,000 Lives Since Opening. Will The Feds Reward Them by Shutting Them Down?

By Jeffrey Singer — Aug 13, 2023
Overdose prevention centers have been saving lives in much of the developed world for more than 35 years. Yet an archaic federal statute blocks them in this country.

Overdose prevention centers have been saving lives in much of the developed world for more than 35 years. Yet an archaic federal statute blocks them in this country.

HMB: A Muscle-Building Supplement That Might Slow Alzheimer's?

By Josh Bloom — Aug 11, 2023
β‐Hydroxy‐β‐methylbutyrate, aka, HMB, is a very safe supplement used to build muscle. But a group has recently demonstrated that HMB may also have properties to mitigate the symptoms of Alzheimer's in mouse models of AD. Could this be a useful drug in protecting the brains from the ravages of this awful disease?

β‐Hydroxy‐β‐methylbutyrate, aka, HMB, is a very safe supplement used to build muscle. But a group has recently demonstrated that HMB may also have properties to mitigate the symptoms of Alzheimer's in mouse models of AD. Could this be a useful drug in protecting the brains from the ravages of this awful disease?

Podcast: IARC's Defective Aspartame-Cancer Study; In Defense of 'Ultra-Processed' Food

By Cameron English — Aug 10, 2023
The International Agency for Research on Cancer's (IARC) conclusion that the sweetener aspartame "possibly" causes cancer is ... definitely stupid. Meanwhile, you can eat a diet consisting of 91 percent "ultra-processed" food and be healthy. So says a new study. Let's take a closer look.

The International Agency for Research on Cancer's (IARC) conclusion that the sweetener aspartame "possibly" causes cancer is ... definitely stupid. Meanwhile, you can eat a diet consisting of 91 percent "ultra-processed" food and be healthy. So says a new study. Let's take a closer look.